Радиология: случай анапластической астроцитомы

Дата публикации: 23.04.2020

Представлен случай анапластической астроцитомы (grade 3 ВОЗ 2016), у девушки 27 лет, с жалобами на резкое возникновение слабости в правых конечностях, а так же наличие нескольких эпизодов судорог.
 
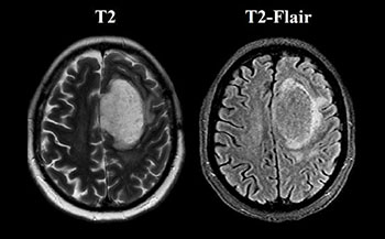
МРТ головного мозга и DSC-перфузия. Крупное интрааксиальное образование локализованное  в верхней лобной извилине левого полушария, окруженное перифокальным отеком ( с наличием феномена несоответствия Т2-Т2flair (mismatch sign)), с частичным вовлечением тела мозолистого тела. Видимого ограничения диффузии не отмечается, однако есть некая неоднородность в структуре опухоли, отчетливо визуализируется сеть патологически расширенных сосудов на ИП SWAN, а так же узловое накопление парамагнетика образованием на постконтрастных Т1-ВИ с отчетливо повышенными значениями rCBV в 5-7 раз по периферии.
Микроскопическое описание (Увеличение х10. Окраска гематоксилин и эозин).⠀
 
На срезе показаны фрагменты опухоли, клетки которой демонстрируют выраженный клеточно-ядерный полиморфизм, фигуры митозов с наличием гиперхромии ядер (красные стрелки).
 
Заключение: Анапластическая астроцитома (grade 3), IDH-статус не определялся (NOS).
 
N.B. Феномен несоответствия Т2-Т2flair (T2-Flair mismatch sign) – проявление, которое считается высокоспецифичным для диффузных глиом и анапластических астроцитом у взрослой популяции, указывающее на мутантный статус опухоли без ко-делеции 1p\19q, что в свою  очередь может помочь в определении тактики лечения и предположения прогноза у пациента (неинвазивный биомаркер определения IDH статуса)
 
Компания MEDLIGA имеет большой опыт в поставке высокотехнологичного оборудования. От подбора и проектирования, до ввода в эксплуатацию и обучения персонала. Радиологическое оборудование представлено в разделах: Рентген аппараты и Компьютерные томографы. Вас также могут заинтересовать Магнитно-резонансные томографы.
Все статьи Следующая статья