Симптом тонущего лоскута (парадоксальная церебральная грыжа) – является редким и потенциально смертельным осложнением после массивной декомпрессивной краниотомии, проявляющееся в виде инвагинации кожного лоскута в направлении, противоположном участку краниотомии. Триггерным механизмом данного состояния является резкое превышение атмосферного давления над внутричерепным, спонтанно или спровоцированное люмбальной пункцией или гипердренажём цереброспинальной жидкости (после шунтирующих операций, обезвоживания, смена позиции головы). Данное состояние подлежит неотложной нейрохирургической помощи.
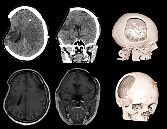
Пациент А., перенесший тяжелую черепно-мозговую травму в ДТП. Состояние после правосторонней гемикраниотомии, эвакуации крупной субдуральной гематомы. Произведена ликворошунтирующая операция с установкой программируемого клапана давления . Через месяц пациент стал предъявлять прогрессирующие неврологические расстройства.
Визуализируется обширная инвагинация кожного лоскута в полость дефекта, смещение срединных структур влево, сдавление САП правого полушария и сглаженность борозд. Причиной данного состояния явилась гиперфункция шунта.
Данному пациенту была произведена краниопластика дефекта черепа, коррекция программируемого клапана давления. Пациент выписан на третьи сутки в удовлетворительном состоянии с полным регрессом неврологической симптоматики.