Радиология: случай солитарной фиброзной опухоли

Дата публикации: 15.03.2020

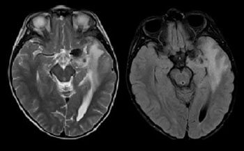
Представлен случай солитарной фиброзной опухоли, у ребёнка 2х лет, с неспецифичными жалобами на головные боли, а также наличия нескольких эпизодов рвоты.
 
МРТ исследования головного мозга и DSC-перфузия. В области левого кавернозного синуса экстрааксиальное образование, с широким прилежанием к ТМО, окруженное перифокальным отеком и масс-эффектом на медиальные отделы височной доли левого полушария головного мозга. При анализе Т2 и Т2flair изображений, визуализируется особенный симптом «Инь-Ян», характеризующийся наличием двух компонентов у опухоли, один из которых гипоинтенсивный (гипоклеточная часть, представленная коллагеновой стромой), а другой гиперинтенсивный (гиперклеточная часть) по отношению к мозговой паренхиме. Кроме того данное образование демонстрирует гомогенное, относительно однородное накопление парамагнетика на постконтрастных изображениях, а так же наличие диспластически расширенных сосудов опухоли на SWI последовательностях, что отчетливо подтверждается высоким кровоснабжением данной опухоли на перфузионных картах с высокими значениями rCBV. Бесконтрастная Кт – демонстрирует неоднородную опухоль с наличием в структуре кальцинатов.⠀В настоящее время нет никаких патогномоничных признаков в диагностике данной опухоли, но симптом «Инь-ян» и выраженное гетерогенное контрастирование могут внести определенный вклад в диагностике данного образования.⠀Солитарная фиброзная опухоль (послеоперационный микропрепарат), окраска гематоксилином и эозином, увеличение х10. а – гипоклеточная зона образования, представленная прослойками коллагена (черные стрелки). б – гиперклеточная зона (красные стрелки), а так же наличие тонкостенных диспластично расширенных ветвящихся сосудов по типу «рогов оленя» ("staghorn" sign)
 
Компания MEDLIGA имеет большой опыт в поставке высокотехнологичного оборудования. От подбора и проектирования, до ввода в эксплуатацию и обучения персонала. Радиологическое оборудование представлено в разделах: Рентген аппараты и Компьютерные томографы. Вас также могут заинтересовать Магнитно-резонансные томографы.
 
Все статьи Следующая статья