Smart Planes CNS
Smart Planes CNS
От 463 000 ₽*

Smart Planes CNS

Smart Planes CNS
Smart Planes CNS
От Цена: 463 000 руб.
Smart Planes CNS
Smart Planes CNS, 2
Smart Planes CNS, 3
Smart Planes CNS, 4
Smart Planes CNS
Smart Planes CNS, 2
Smart Planes CNS, 3
Smart Planes CNS, 4
Арт.: M013901
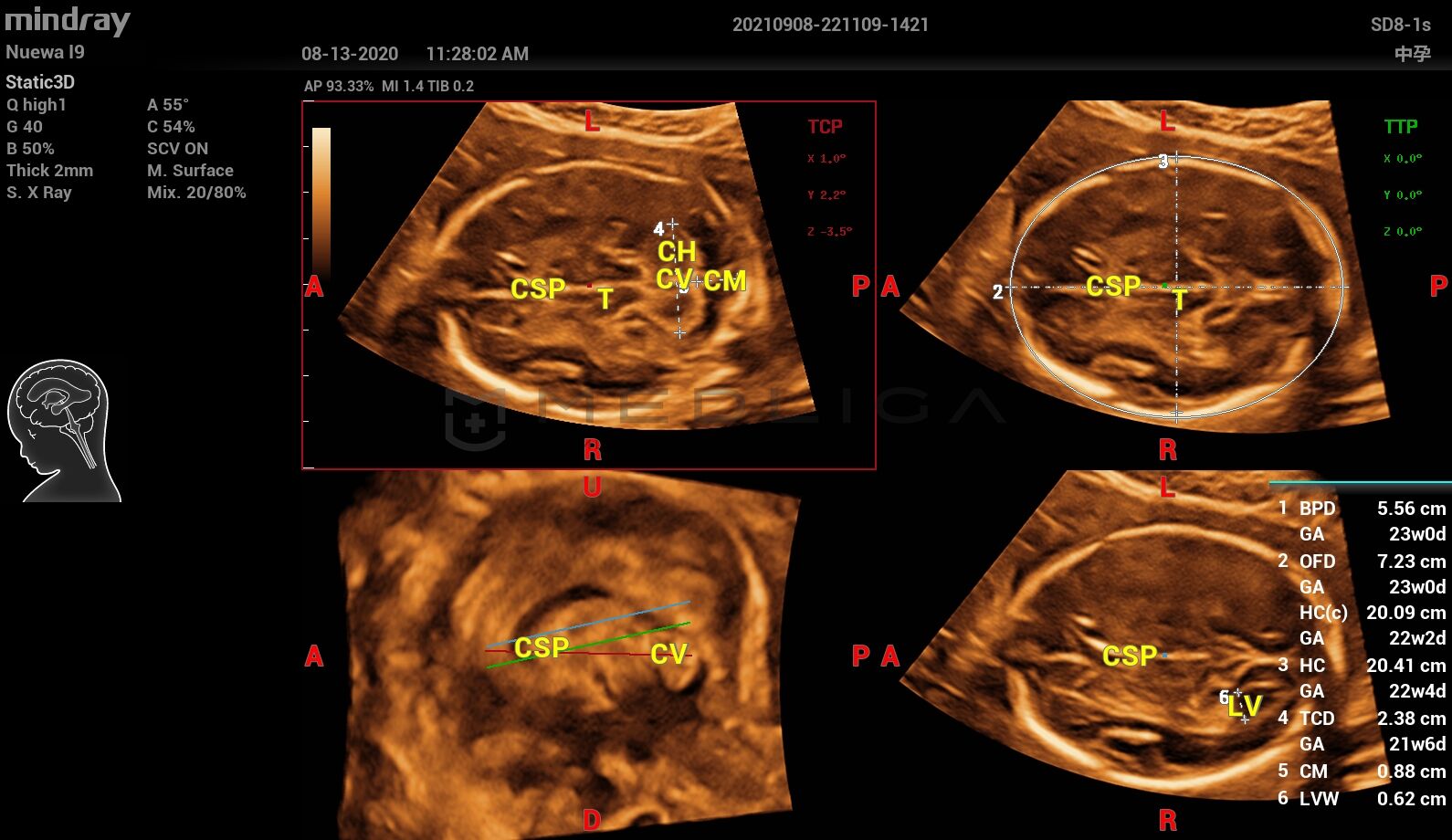
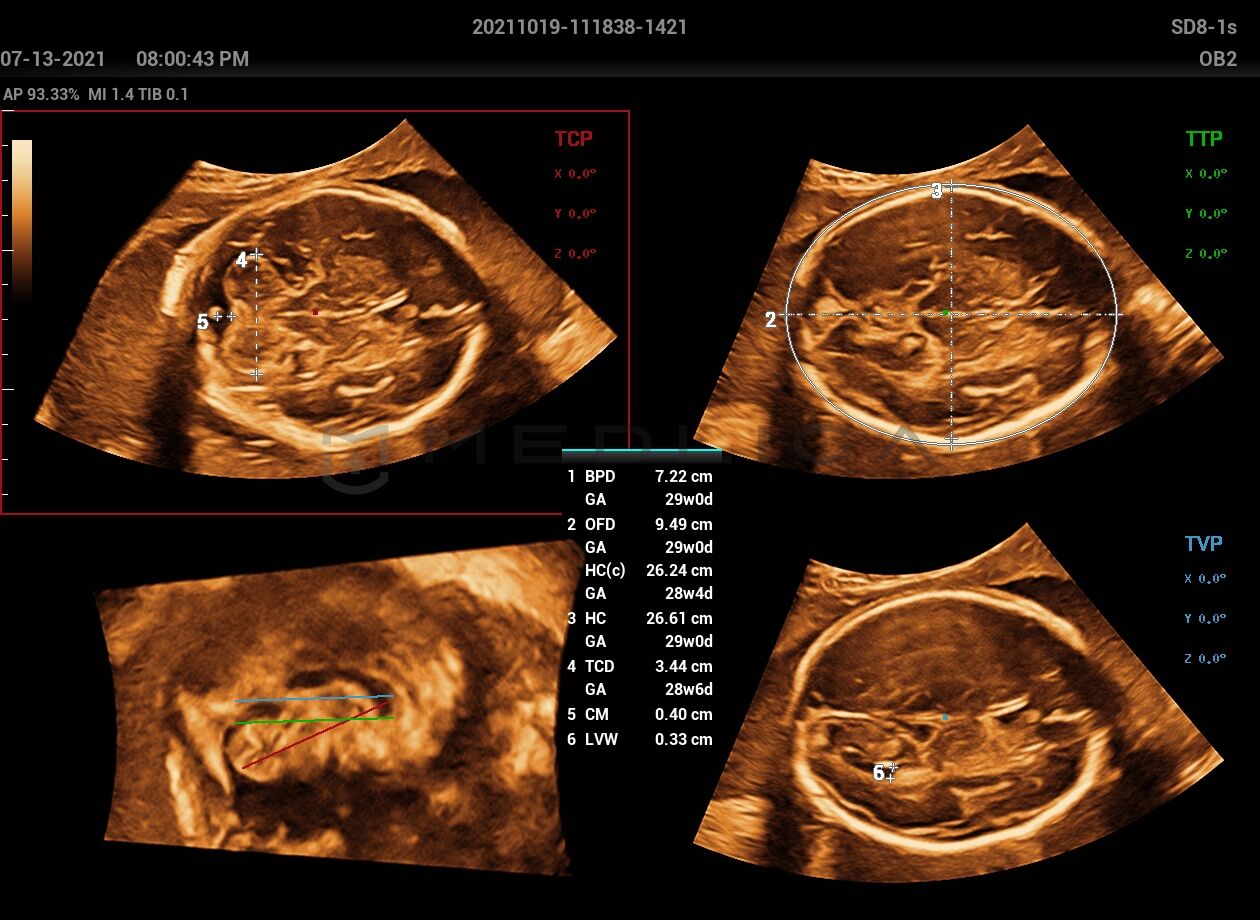
Программное обеспечение для автоматического получения стандартных срезов головки плода из объемного изображения
Награды Mindray
Официальный дистрибьютор Mindray
MEDLIGA - официальный дистрибьютор Mindray №1 в России
Сервисный центр Mindray
MEDLIGA - Золотой сервисный центр Mindray
Описание

Smart Planes CNS – это удобный инструмент, который значительно повышает точность сканирования в сочетании с полностью автоматизированной работой, что обеспечивает точную диагностику, улучшенную пропускную способность и уменьшенную зависимость от пользователя.

  • Интеллектуальное и точное исследование ЦНС плода
  • Полностью автоматическое распознавание срезов, 4 стандартных среза ЦНС
  • Высокоточные измерения, 6 часто используемых фотометрических параметра

При нажатии на трехмерное изображение мозга плода незамедлительно будут получены

стандартные сканируемые плоскости ЦНС:

  • MSP — интеллектуальная медиальная сагиттальная плоскость
  • TCP — трансцеребральная плоскость
  • TTP — трансталамическая плоскость
  • TVP — трансвентрикулярная плоскость

набор соответствующих анатомических измерений:

  • BPD — обмер и вычисление бипариентального размера головы
  • HC — окружность головы
  • OFD — лобно-затылочный размер головы
  • TCD — межполушарный размер мозжечка
  • CM — ширина большой цистерны
  • LVW — ширина боковых желудочков
Характеристики
От Цена: 463 000 руб.
Сервис
Лизинг
Гарантии
Преимущества